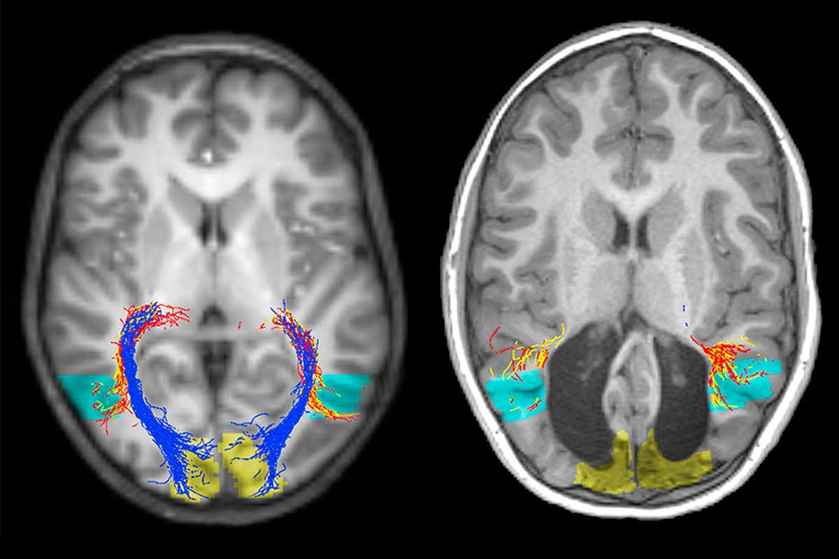
A normal brain (left) and the boy missing a visual cortex (right) Description:Inaki-Carril Mundinano,Juan Chen,Mitchell de Souza,Marc G. Sarossy,Marc F. Joanisse,Melvyn A. Goodale,James A. Bourne
An Australian boy missing the visual processing centre of his brain has baffled doctors by seeming to have near-normal sight.
The 7-year-old, known as “BI”, lost his primary visual cortex shortly after he was born due to a rare metabolic disorder called medium-chain acyl-Co-A dehydrogenase deficiency.
Normally, the primary visual cortex is crucial for sight because it processes electrical signals relayed from the eyes. People with damage to…