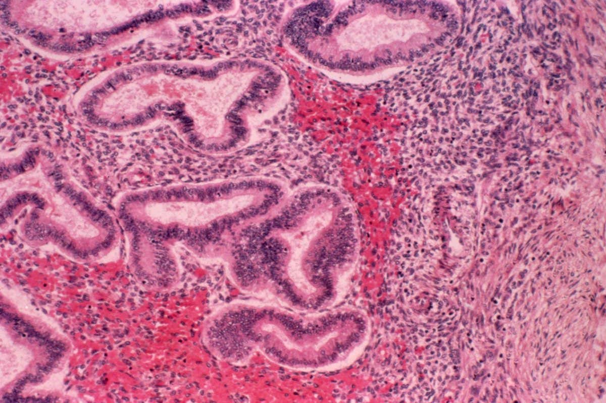
Light micrograph of a section through an ovary showing endometriosis Science Photo Library
Endometriosis-like symptoms can be treated in mice by targeting a gene that has been linked to the condition.
Endometriosis occurs when tissue from the uterus spreads to other areas like the ovaries and bladder. It affects up to one in 10 women and can cause intense pelvic pain and infertility.
The available treatments – which include surgery and injectable hormones – often don’t work and can cause unpleasant side effects.
To better understand the condition, Thomas Tapmeier at Monash University in Melbourne, Australia, and his colleagues studied…



