The brains of people with schizophrenia show major changes even before their first psychotic episode, says a team at the Institute of Psychiatry in London.
The discovery raises the possibility of a screening programme for the disease and early intervention for people at risk.
Early treatment with behavioural therapy or drugs could prevent, or at least mitigate, the full onset of schizophrenia, says Tonmoy Sharma, who led the study. The longer the psychosis goes untreated, the worse the outcome, he says.

Advertisement
“Schizophrenia is probably the most expensive disease for the National Health Service,” Sharma adds. “If we can move into prevention and early detection, the implications are huge.”
The research is welcomed by the London-based National Schizophrenia Fellowship, Europe’s largest charity dedicated to mental illness. “We already know that outcomes are vastly improved when the illness is spotted earlier,” says Cliff Prior, director of the NSF.
Schizophrenia affects one per cent of the population. It causes hallucinations and abnormal, antisocial behaviour, and leads on average to a 15 per cent fall in the patient’s score in IQ tests. “This can make the difference between a person being able to do a job or not,” Sharma says.
Those at risk include people with a family history of the disease, as well as people showing specific behavioural patterns, says Sharma.
The British government’s new NHS Plan has made early intervention in the treatment of schizophrenia a priority, Sharma says. He hopes to launch a pilot screening programme in south London within a few months.
Research in Australia suggests that 40 per cent of people classed as “at risk” for schizophrenia go on to develop the disease. Sharma thinks that a full screening programme could cut that figure to 10 per cent.
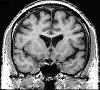
Sharma’s team used magnetic resonance imaging (MRI) to scan the brains of 37 people experiencing their first hallucinations and 31 healthy people.
The scans showed significant differences between the brains of the two sets of subjects. Sharma concludes that the brain changes began some time before the schizophrenic patients first suffered a psychotic episode.
He found that the brains of the schizophrenic patients were smaller than normal. They also had abnormal temporal lobes – a part of the brain linked with speech and the experience of hallucinations.
These brain abnormalities aren’t specific to schizophrenia, Sharma points out. “You also find them in the brains of people suffering from other kinds of psychosis – such as bipolar disorder,” he says.
He thinks many mental illnesses begin with the same changes in brain structure and chemistry. “I think there is a common pathway initially, and then later on there might be a divergence into different forms of mental illness,” he says.
This means that treating anyone showing signs of the brain abnormalities should prevent the onset of other mental diseases as well. Early intervention might involve drugs that lower dopamine levels in the brain. Both bipolar disorder (manic depression) and schizophrenia are characterised by high dopamine levels.
More at: American Journal of Psychiatry (vol 157, p11)


