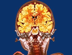
The anatomy of maturity (Image: Du Cane Medical Imaging/SPL/Getty)
The carnival trick of guessing a person’s age has just gained a lot more rigour. A new brain imaging technique can predict a child’s age to within a year. The technique could be useful for determining whether a child is developing normally, or confirm that a young person is the age they say they are.
There is no doubt that children of the same age often have vast differences in their maturity and mental ability, says Timothy Brown of the University of California in San Diego. But what hasn’t been clear is how much of that difference is psychological and how much is biological.
To simplify the question, Brown and his colleagues looked at brain structure rather than brain activity. Working with 10 hospitals in different parts of the US, they recruited 885 children and young adults between the ages of 3 and 20. They ensured that the participants represented many different races, socioeconomic statuses and education levels.
Advertisement
The group performed structural magnetic resonance imaging (MRI) on the young peoples’ brains. The images showed features such as the size of each brain region, the level of connectivity between neurons, and how much white matter was insulating the neurons.
By putting all these features together in an algorithm, the researchers formed a picture of what the average brain looks like at each year of childhood. Different areas and features of the brain varied between individuals, but the algorithm correctly predicted a child’s age to within a year in 92 per cent of cases. Brown says this suggests that brain anatomy is a developmental clock of which we were unaware.
Useful applications
Very young children were the most similar, presumably because they hadn’t been exposed to as many environmental factors, Brown says. The brain of a 3-year-old child is statistically similar to other youngsters within 8 months of this age, but by the age of 20 the window of statistical similarity extends over 18 months.
The technique could be used in the clinic to determine whether a child’s brain is developing normally for his or her age, Brown says. Paediatric neurologist Nico Dosenbach of Washington University in St Louis, Missouri, who was not involved in the study, compares it to the children’s growth chart used by clinicians. It may be possible in future studies, he suggests, to determine whether children with developmental disorders like autism have brain structures that differ from the norm in a similar way.
The test could also be useful to ascertain a person’s age in non-clinical settings, which is very difficult when documents don’t exist. Border agencies, for instance, often need to know if a person is a minor in order to decide whether to grant them asylum. The accuracy of the MRI technique means it could also be used to test whether Olympic athletes are the correct age. This issue came to a head in the 2008 Olympics when a number of Chinese gymnasts were suspected of being younger than the minimum age of 16.
But what MRI can’t do is predict a child’s psychological maturity, Brown adds. And while the large sample size allowed the group to form a good picture of what the brain looks like each year, some individuals’ brains looked much older or younger than they actually were. That variation would make it dangerous to rely on MRI for determining criminal responsibility, for instance. The team is now looking at the genomes and personal histories of these outliers to determine what might be driving their brains to develop more quickly or more slowly than others of their age.
Journal reference: Current Biology, DOI: 10.1016/j.cub.2012.07.002
Topics:



