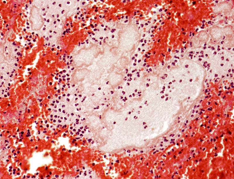
Monocytes (purple) at the scene of a blood clot in the heart (Image: Steve Gschmeissner/SPL)
The discovery was a happy accident. It turns out that an injection of microscopic tags made of a plastic-like polymer can help limit tissue damage after a heart attack in mice. The hope is that it could one day help treat this and other conditions in humans.
The hunt to find a therapy that shuts down inflammatory monocytes – a kind of immune cell that can damage the body after a heart attack and in other illnesses – has been long and elusive, says Stephen Miller at Northwestern University in Illinois.
He and his team have found a way to use microparticles made of the biodegradable polymer PLGA to tag these monocytes in mice. This triggered the monocytes to move away from inflamed sites to the spleen, where they are destroyed. It seems other immune cells are left unscathed.
Advertisement
One existing use for the microparticles, which are just 1/200th the width of a hair, is for laboratory imaging, to label and trace cells. ‘Daniel Getts was using them in this way to study how inflammatory monocytes travelled from the bloodstream to the brain of mice with West Nile virus, where they damage tissue.
Lucky mistake
By mistake, one batch of microparticles became negatively charged. Instead of seeing the majority of his infected mice die from brain inflammation, as expected, Getts found that monocytes had bound themselves to his charged microparticles and moved into the spleen.
“It was a total accident that we discovered this,” says Getts. He found that 60 per cent of the infected mice survived.
The negatively-charged microparticles had bound to a receptor protein on the surface of inflammatory monocytes called “MARCO.” This protein usually detects and sticks to negatively charged regions on pathogens, dying cells and other debris in the blood. Binding this particular receptor, the researchers suspect, signals the monocyte to go to the spleen, where cargo and cell are destroyed.
Getts says it was a natural move to try tagging monocytes in this way in diseases in which they damage tissue.
Innovative approach
Controlling inflammation after a heart attack was a priority. During the first couple of days after an attack, monocytes can target oxygen-deprived heart muscle, damaging it further. Mice injected with microparticles 12 hours after an attack had heart lesions half the size of those who did not receive therapy. The hearts of treated mice also pumped better.
The microparticles helped reduced spinal inflammation in mice with a disease similar to human multiple sclerosis, making their paralysis less severe. Those with irritable bowel syndrome similarly showed reduced inflammation of the intestinal lining. And those with kidney injuries had signs of better organ function, suggesting the tags might be effective after organ transplants.
Miller says the team hopes to begin human clinical trials to test the therapy for heart attack this year.
“The approach is innovative,” says Nick Giannoukakis, a pathologist at the University of Pittsburgh Medical Center in Pennsylvania. But he adds that a better understanding of events after MARCO binding would be helpful.
Journal reference: Science Translational Medicine, DOI: 10.1126/scitranslmed.3007563
Topics:



