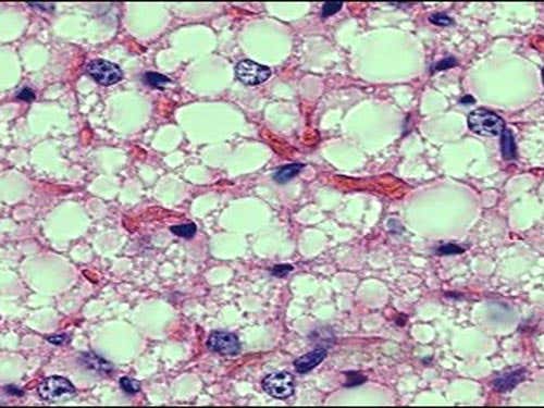
This micrograph image of brown fat showing the extraordinary number of mitochondria involved in heat generation (Image: Laura Austgen and R. Bowen) In this PET-CT scan Brown fat (black) shows up after exposure to cold (right) but is not apparent in a scan at room temperature (left). (Image: W. Van Marken Lichtenbelt)

Editorial: Time for an ethical weight loss pill
IN THE war on our waistlines, fat is the enemy. It is fat, or adipose tissue, that gives us our beer bellies and our love handles, our man boobs and our muffin tops. And when plastic surgeons sculpt people into slenderness, it is fat tissue they suck up and throw out with the clinical waste.
It seems odd, then, that a type of fat tissue could also be the key to weight control. Not ordinary white adipose tissue, but a special kind called brown fat.
In some mammals, brown fat turns the energy obtained from food into heat, burning up calories without the animal expending any effort. It used to be thought that adult humans had no brown fat, but a raft of new evidence indicates that this is wrong, and it is in fact present and functional in at least some individuals. Differences in the amount of brown fat each person has may help to explain why some of us are slim while others are overweight, and why many of us pile on the pounds as we age.
Researchers are experimenting with various ways to increase the amount or activity of our brown fat, either pharmaceutically or even surgically, by extracting ordinary white fat through liposuction, transforming it…



